子宫内膜是覆盖在子宫腔内壁的一层柔软组织,如同孕育生命的“土壤”。
这片“土壤”的厚度变化主要受雌激素和孕激素调控,雌激素可以使土壤变厚,孕激素使之肥沃,它会随着月经周期不断变化,为怀孕做准备。
若没有受孕,子宫内膜就会脱落,形成月经,下个月再重新开始。一旦激素失调,内膜就可能过厚或过薄,影响健康。
而一旦子宫内膜出现炎症,不仅影响女性的身心健康,还可能导致子宫内膜过薄,影响受孕和胎儿发育。

图片来源网络,侵权请联系删除
什么是子宫内膜炎
生活中,有许多长期备孕的适龄期妇女,不是久备不孕,就是胚胎停育或者宫外孕,检查结果发现,原来反复胚胎移植后不着床、复发性流产、感染性流产的“罪魁祸首”竟然是子宫内膜炎!
子宫内膜炎是指子宫内膜因病原体感染或其他因素引发的一系列炎症反应。分为急性和慢性两种类型。
● 急性子宫内膜炎会伴随下腹剧烈疼痛、发热、白细胞升高等症状,一般很难忽略。
● 慢性子宫内膜炎则比较隐匿,有时无症状,也可以引起经期延长、经间期出血、慢性盆腔痛、性交痛、白带增多,对日常生活影响不大,容易被忽视。
相关研究显示,子宫内膜炎在育龄期女性中的发生率约为15%,其中慢性子宫内膜炎更为常见。在不孕群体中,慢性子宫内膜炎的发生率可达2.8%-56.8%。

图片来源网络,侵权请联系删除
子宫内膜炎的高危因素有哪些
性生活
有性生活并性活跃期女性易于发病,尤其是初次性交年龄小、有多个性伴侣、性交过频以及性伴侣有性传播疾病者。
下生殖道感染
外阴炎、阴道炎、宫颈炎。
性卫生不良
经期性生活、使用不洁月经垫、经常进行阴道冲洗等,均可使病原体侵入而引起炎症。
邻近器官炎症直接蔓延
最常见于阑尾炎、腹膜炎等蔓延至盆腔。
炎症再次急性发作
子宫内膜炎可破坏子宫内膜组织,使其防御能力下降,容易造成再次感染,导致急性发作,尤其是在患者免疫力低下、有不洁性交史等情况下。
宫腔内手术操作后感染
各类需伸入器械进入宫腔内的手术操作后感染,如人工流产、放或取环术、黏膜下肌瘤摘除术、胎盘人工剥离、输卵管通液术、子宫输卵管造影术、宫腔镜检查等。
子宫内膜炎的诊断方法
医生通常会通过妇科检查、白带常规和血常规等检查,初步判断感染的类型和炎症程度。
超声检查也是常用方法,可以观察子宫内膜是否增厚、有无积液或其他异常。

如果上述检查无法明确病因,可能会采用宫腔镜检查。宫腔镜可以直接进入子宫内部,像“实地考察”一样清晰地观察子宫内膜的具体情况,并能取组织进行病理检查,精准地找出病因。
在急性子宫内膜炎时,病理检查可以看到大量中性粒细胞浸润子宫内膜,甚至形成脓肿。

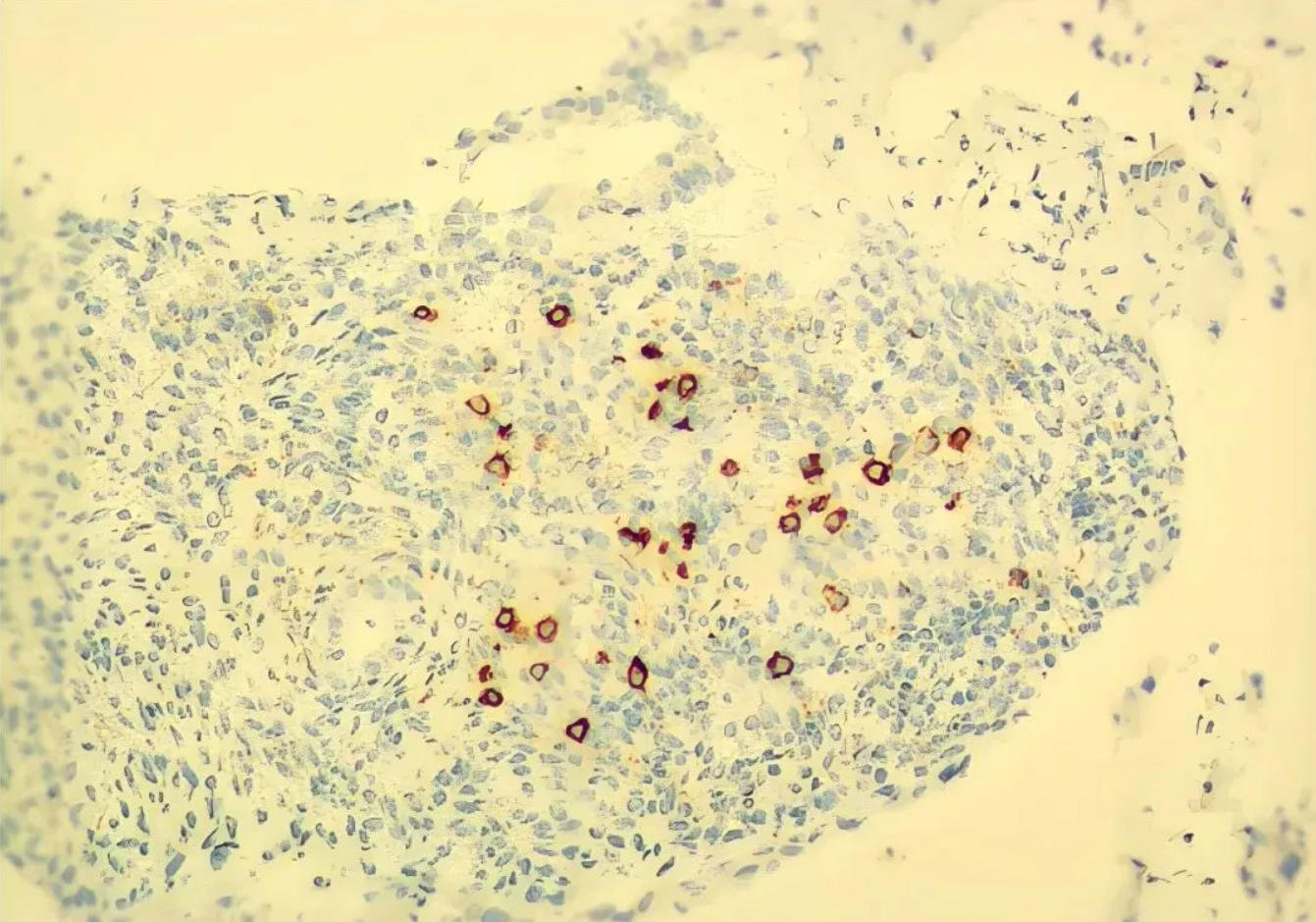
CD138阳性细胞
诊断慢性子宫内膜炎关键在于确认子宫内膜间质是否存在浆细胞浸润。为此,医生会对取下的组织进行免疫组化染色。通过使用不同的浆细胞标志物(如CD38、CD138、MUM-1等)进行染色,可以准确判读是否有浆细胞存在。在慢性子宫内膜炎的样本中,可以看到一个个标志物阳性的浆细胞。
子宫内膜炎的治疗
药物治疗
以经验性使用口服抗生素为主。对于病情严重的急性患者,应住院静脉滴注抗生素治疗,常用药物组合为头孢曲松钠联合甲硝唑。慢性子宫内膜炎首选多西环素。
物理治疗
可配合热敷、红外线照射等方法,促进局部血液循环,帮助药物更好地发挥作用。
手术治疗
若存在宫腔积脓,需积极治疗原发病,及时手术宫腔引流,术后配合抗生素巩固治疗。
免疫治疗
慢性子宫内膜炎可配合免疫学治疗,如使用地塞米松、地屈孕酮等。
中医治疗
有条件时,可结合中医药辨证论治进行辅助治疗。
子宫内膜炎的预防
1. 注意隐私部位清洁。经期要勤换卫生巾,性生活前后要清洗。
2. 没有生育计划时,一定要采取避孕措施。多次流产、刮宫对子宫内膜伤害很大,容易引发子宫内膜炎。
3. 定期体检。每年至少进行1次妇科检查,把问题扼杀在萌芽状态。
【声明】
1.本文旨在科普辅助生殖医学知识,交流分享,了解行业前沿发展动态,不作为相关医疗指导或用药建议,仅供读者参考。
2.本账号转载的图文视频等内容若涉及版权等问题,请联系我们及时处理删除。